home
潜伏在夜间的杀手养生课堂

门脉高压性肠病主要是由什么原因引起的

2013/6/6 [ ]

(一)发病原因

PHC的常见病因是存在相应原发性疾病,如肝炎、肝硬化、血吸虫性肝纤维化、原发性门静脉高压、门静脉栓塞等,在此基础上长期门静脉高压症(PHT)而发生的肠黏膜损害。

(二)发病机制

1.PHC是继发于门静脉高压以肠道血管扩张为特征的一种病变。发病机制与门静脉高压性胃病(PHG)基本相同,也与门静脉高动力循环等有关。日本山门等通过对反映门静脉压力的肝静脉压力梯度(HVPG)的测定,发现肝硬化伴有PHC者明显高于不伴有PHC者。肝硬化门静脉高压不仅胃血流量增高1倍,食管、小肠、结肠血流量也增加40%~60%。山门通过激光多普勒法研究发现除盲肠外,从直肠到升结肠黏膜血流量伴有PHC者较不伴有PHC者明显增多,且黏膜血流量的改变依次为重度PHC者?轻度PHC者?无PHC者。Tezuka等采用脏器反射光谱法测定肝硬化门静脉高压患者直肠黏膜,发现黏膜的血流量增加。均说明门静脉高压普遍存在的高动力循环参与了PHC的发生。有报道门静脉内径的宽度与结肠血管畸形成正比,有出血史的患者结肠黏膜损害更明显。在慢性门静脉高压者结肠的黏膜、黏膜下层的小动脉扩张,结肠的血流量增加,即“内脏多血(splanchnic hyperemia)”,使门静脉流入的血流量增加,为维持慢性高门静脉压的机制之一。

观察门静脉高压患者体内的一些扩血管物质,如一氧化氮、胰高糖素、前列腺素、肠血管活性肽、降钙素相关基因肽、腺苷以及一氧化碳等增加,可能与合成增多、灭活减少及门-体分流等因素有关。在门静脉高压患者外周动脉对缩血管物质反应性下降,已知在门静脉高压时体内缩血管物质如去甲肾上腺素高于正常。但内脏血管却以扩张表现为主,呈现高动力循环。这与患者内源性血管扩张物质增加有关,致使外周动脉扩张,继而出现高动力循环。

诸多介质中一氧化氮被认为是引起肝硬化患者血管扩张、高动力循环及PHC的关键介质。一氧化氮是一种抑制性神经递质,通过介导黏膜血管主动扩张以及黏膜微循环障碍参与PHC的发病过程。实验观察门静脉高压时胃肠道一氧化氮合酶水平增加,一氧化氮作用于血管平滑肌,使血管扩张。一氧化氮还有抑制胃肠平滑肌作用,引起阻性充血、肠道运动功能紊乱,都参与PHC的发生。另外,胰高糖素对引起门静脉高压肠高动力循环也起重要作用,胰高糖素可使肠道血管扩张,并使肠道血管对去甲肾上腺素、血管升压素的缩血管作用的反应性下降。以上最终导致内脏淤血,血管扩张,血管通透性增加,血浆外渗,胃肠黏膜下广泛水肿,血管扭曲扩张,肝功能障碍和肝内外门-体分流。

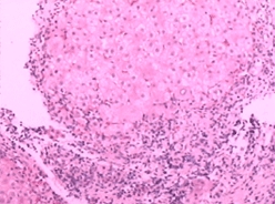
2.肠黏膜及黏膜下血管扩张和黏膜固有层水肿增厚为PHC特征性组织学表现。光镜下可见结肠黏膜水肿、淤血、大量毛细血管扩张,并偶见动-静脉短路,可伴有黏膜组织轻微炎症,少数肠黏膜固有层淋巴细胞轻度增生,黏膜固有层可见轻度淋巴细胞和浆细胞浸润;黏膜上皮细胞脱落坏死,形成糜烂而致出血;部分病例黏膜下层或肌间神经丛可见水肿及神经细胞变性。电镜下可见毛细血管内皮和黏膜上皮细胞超微结构改变。

责任编辑:editor4
  • 养生

养生节目

进入>>

机构免费加入

热点问题

更多>>

居家养老:起步13年仍在摸索中

所谓居家养老,是立足家庭,依托社区,借助养老服务组织专业化服务,通过上门或日托照料形式,为老年人提供以助餐、助洁、助急、助浴、助行、助医等“六助”为主要内容的社区居家养老服务。 [详情]
居家养老:起步13年仍在摸索中

明星机构访谈

更多>>

明星养老机构访谈申请条件

明星机构访谈是针对热衷养老产业,对养老行业及其发展具备敏锐的洞察力和深入了解且具有一定影响力的养老领域资深人士进行采访交谈的专业平台。 [详情]
明星养老机构访谈申请条件

关于中华养老网

养老产业招商

城市产业招商

联系我们 |刊登广告 |平台介绍 |关于我们 |豁免条款 |招聘信息 |隐私保护 |版权申明