home
潜伏在夜间的杀手养生课堂

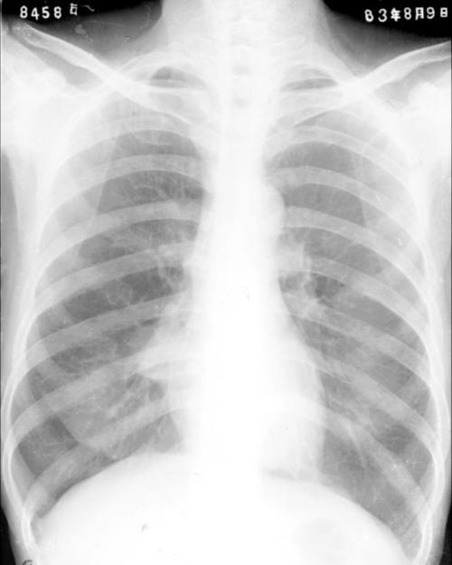
中叶综合征主要是由什么原因引起的

2013/5/7 [ ]

(一)发病原因

引起本综合征的病因大致有:非特异性炎症或结核性淋巴结肿大压迫,支气管扩张所致远端闭塞,黏液、脓栓或异物阻塞,支气管内膜结核或非特异性炎症致管腔狭窄或闭塞,支气管癌或良性肿瘤阻塞中叶支气管,原发性或转移性淋巴瘤肿大压迫。

(二)发病机制

中叶综合征(middle lobe syndrome)又称Brock综合征或Craham-Burford-Mayer综合征,是指由于支气管受管外肿大淋巴结的压迫阻塞,所致。

责任编辑:editor4
  • 养生

养生节目

进入>>

机构免费加入

热点问题

更多>>

居家养老:起步13年仍在摸索中

所谓居家养老,是立足家庭,依托社区,借助养老服务组织专业化服务,通过上门或日托照料形式,为老年人提供以助餐、助洁、助急、助浴、助行、助医等“六助”为主要内容的社区居家养老服务。 [详情]
居家养老:起步13年仍在摸索中

明星机构访谈

更多>>

明星养老机构访谈申请条件

明星机构访谈是针对热衷养老产业,对养老行业及其发展具备敏锐的洞察力和深入了解且具有一定影响力的养老领域资深人士进行采访交谈的专业平台。 [详情]
明星养老机构访谈申请条件

关于中华养老网

养老产业招商

城市产业招商

联系我们 |刊登广告 |平台介绍 |关于我们 |豁免条款 |招聘信息 |隐私保护 |版权申明