
(一)发病原因
游离二氧化硅主要以结晶型方式存在于石英石、花岗石、黄砂等中,通常称为石英,包括石英、燧石、方石英、鳞石英和稀少的黑硅石。其中以鳞石英致纤维化最严重,其次为方石英,再其次为石英,石英在自然界分布最广,因而石英粉尘对人体危害性也最大。当硅以化合物形式存在时,如长石、花岗岩其致纤维化的性质发生改变,对肺的损害不如游离的二氧化硅。接触石英的工业很多:约有95%的矿石中均含有不同比例的游离二氧化硅,有的可高达90%以上。通常将接触含有10%以上游离的二氧化硅的粉尘作业称为矽尘作业。生产环境中的粉尘最高允许浓度为:空气中游离二氧化硅在10%以下时为2mg/m3,在80%以下时为1mg/m3,超过以上标准即容易发病。空气中游离二氧化硅的含量越高,颗粒越小(1~3μm),接触时间越长,越易发病,病情进展愈快,病变愈典型。开采各种金属矿山时,凿眼、爆破、碾碎、选矿等过程中以及煤矿掘进时都会遇到大量石英粉尘。其他如开凿隧道、石英研磨、水泥制造、金属铸造过程的喷砂清洗、清除金属铸造表面的毛刺抛光、采石、玻璃制造、陶器、工艺瓷砖、搪瓷制造及耐火材料等均接触二氧化硅。
到目前为止,矽肺仍是危害最严重的尘肺,矽肺一旦发生,即使脱离接触仍可以缓慢进展,迄今尚无满意的治疗方法。矽肺可造成劳动能力丧失,但若脱离接触粉尘作业又无合并症,患者仍可存活较长时间。在尘肺中矽肺发病率最高,矽肺的严重程度取决于3个因素:空气中的粉尘浓度、粉尘中游离二氧化硅的含量和接触时间,此外,防护措施及个体因素如个人习惯(吸烟),上、下呼吸道疾病等在矽肺发生发展中均有一定影响。
(二)发病机制
游离二氧化硅颗粒进入肺泡后,被聚集在肺淋巴管起始部位的肺巨噬细胞所吞噬,游离二氧化硅对巨噬细胞有极强的毒性作用,可致其自溶死亡。二氧化硅被吞噬后,被包裹在吞噬细胞溶酶体中,由于石英表面的羟基和巨噬细胞溶酶体膜脂蛋白结构上的氢原子受体(氧、氮及硫原子)间形成氢键,引起细胞膜的改变和通透性的变化,导致巨噬细胞溶酶体崩解,并释放出酸性水解酶进入细胞内,继而导致巨噬细胞死亡,并再次将石英粒子释放,形成恶性循环,造成更多的细胞受损。受损的巨噬细胞释放出非脂类“致纤维化因子”,刺激成纤维细胞,导致胶原纤维增生,形成以胶原纤维为中心的病灶结节——矽结节。矽结节向全肺扩展并相互融合,造成双肺弥漫性损害。纤维化不仅局限于肺内,也存在于巨噬细胞所迁移到的淋巴结内。在许多矽肺病人中已发现血清γ-球蛋白水平增高,自身抗体的存在,以及在矽肺病变中存在γ-球蛋白,故提出了矽肺发生的免疫学机制,但免疫成分似乎不参与对巨噬细胞的杀伤和纤维化形成,因此为次要发病机制。
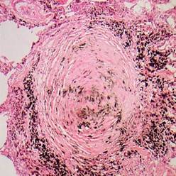
矽结节是矽肺的特征性病灶,同时伴有弥漫性肺间质纤维化。矽结节常位于支气管和血管周围,直径为0.3~1.5 mm。大体标本见肺脏呈灰褐色,质地较硬,体积增大,重量增加,表面有砂粒感或硬块感。剖面可见大小不等之结节或硬块,境界较清楚,质地致密。在结节周围肺组织可见有肺气肿。通常全肺弥漫性分布,胸膜内和外的局部淋巴结常受累,发生钙化或形成矽结节。
显微镜下见矽结节呈圆形或星芒状,中央由已发生玻璃样变性的胶原纤维组成,胶原纤维呈同心圆排列。结节周围有不同比例的网状纤维、巨噬细胞、成纤维细胞和浆细胞包绕,似晕状,晕越大,病灶越活跃。用偏光显微镜可以鉴定矽结节内和沉积在肺组织里的石英颗粒。
肺门淋巴结是矽反应最早的部位,它可在胸片尚未见到矽结节之前已有淋巴结增大。大体标本可见淋巴结肿大、粘连。组织学表现与肺部相似,在淋巴结内可见到散在的非坏死性肉芽肿。随着病变的发展也可出现类似纤维化的改变。在有典型的矽结节和严重的间质纤维化时淋巴结病变可重于肺组织改变。
在形态学上,矽肺有三种类型:单纯的结节性矽肺、球形矽肺以及急性矽肺。结节性矽肺特征是肺实质表现为呈灰黑色的、且被严密包绕着的、直径为0.5~5mm的结节。如果合并有结核,这些结节可以发生空洞化。肺门淋巴结常肿大且可以有钙化,典型的钙化是出现在结节的边缘,呈“蛋壳样钙化”。在显微镜下,具有诊断性意义的病变是矽肺结节或矽肺岛,这些病灶通常位于呼吸性细支气管旁。矽肺岛的中央含有一呈螺纹状的、透明的、由非细胞组成的胶原块,其外周是巨噬细胞及浆细胞层。在组织形态学上,可见到数量不等的尘埃,如果其中的石英浓度很高,颗粒较小,则很少量的尘埃也可以产生严重的纤维化。如果持续暴露于粉尘,将使得已存在的结节的数量和大小增加;但即使在停止暴露于相应环境后,结节仍可以继续扩大,这是由于巨噬细胞的外周性位移以及纤维化继续形成之故。
球形矽肺(巨大的、进行性的纤维化)有和结节性矽肺相同的特征,但可形成大的结节,并可融合形成直径大于1cm的肿块。这种球形矽肺病变趋向于位于上叶,在这些病变周围的肺组织常显示出有着大瘢的、不规则的肺气肿。和结节性矽肺相比,球形矽肺的胸膜纤维化及胸膜粘连更为常见且更为严重。在显微镜下,球形病灶是由在透明性纤维化背景中出现的融合的矽肺岛所组成。血管常发生血栓形成或闭塞性动脉内膜炎,同时由于局部缺血或合并有结核而使得病灶可以出现坏死或空洞形成。
急性矽肺较为少见、但病变进展很快,起因于大量的、游离的二氧化硅的暴露。粉尘颗粒常较小,直径通常为1~2μm,其中的石英浓度很高,这种状况尤其多见于工人们在喷沙尘的过程中,此过程是导致急性矽肺发生的常见职业。病理学上,结节较为稀少,但相反地,肺外表呈灰色的实变,这是肺弥漫性间质纤维化程度增加的标志。显微镜下,肺泡中充满着一种嗜酸性的泡沫状的渗出物,其间含有许多的巨噬细胞。伴随着间质性纤维化,有明显的Ⅱ型肺泡上皮细胞的增殖。组织学特征可以类似于肺泡蛋白沉积症或脱屑性间质性肺炎。