
(一)发病原因
麻疹是由麻疹病毒(measles virus)引起的急性传染病,其最常见的并发症是麻疹病毒肺炎(measles pneumonia)。麻疹病毒可侵犯整个呼吸道黏膜并产生肺炎,可发生于麻疹出疹前期和发疹期,免疫功能低下的幼儿常无皮疹,极易发生巨细胞肺炎。由于呼吸道黏膜的广泛损害,在出疹期或疹后期常伴发细菌性感染,多发生于营养不良、体弱的儿童。致病菌以肺炎链球菌、金黄色葡萄球菌和流感嗜血杆菌为常见,其中以金黄色葡萄球菌尤为多见,病情多较严重。少数患儿尚可并发腺病毒感染。麻疹同时并发细菌性感染和腺病毒感染时,病情则更为严重,常为麻疹肺炎导致死亡的重要原因。
(二)发病机制
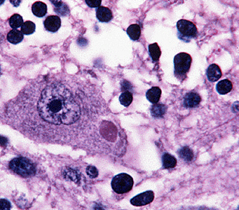
麻疹的主要病理改变是广泛的细胞融合形成多核巨细胞。麻疹病毒肺炎的病理表现是呼吸道包括支气管和细支气管的上皮细胞急性炎症,黏膜水肿、充血、坏死可形成溃疡伴纤毛脱落,间质有单核细胞和多核巨细胞形成。病变累及细支气管周围,发生以淋巴细胞为主的单核细胞浸润性间质性肺炎,肺内病灶可融合,侵犯网状内皮系统,引起淋巴结肿大。呼吸道和肺泡壁出现上皮多核巨细胞,其核和细胞质内含有嗜酸性包涵体称为巨细胞肺炎。肺泡内充满脱落的变性上皮细胞、多核细胞和单核细胞,肺泡壁有透明膜形成,支气管分泌物以及脱落细胞可使支气管部分阻塞而引起局部肺气肿和肺大疱完全阻塞时可发生肺不张。伴发细菌性感染产生支气管肺炎的病理改变,有时并发脓胸或脓气胸。病灶迁延不愈可产生支气管扩张症。