
(一)发病原因
根据发生类脂性肺炎的不同原因可分为外源性和内源性。
外源性类脂性肺炎是因吸入植物性、动物性或矿物性油类所致。矿物油以液状石蜡最常见。用液状石蜡滴鼻剂,常流入肺脏下垂部;用液状石蜡作缓泻剂,误吸时可吸入两肺。矿物油刺激性小,经咽部进入支气管树而不引起咳嗽反射。也能阻碍气道上皮的纤毛运动对吸入油类的排除。
矿物油为惰性物质,在体内不被水解,吸入肺脏迅速乳化,被巨噬细胞所吞噬,通过淋巴管运走;若留下残留物,可引起肺纤维化。植物油例如橄榄油,可被乳化,但不能为肺的酯酶所水解,故不会损伤肺,大部分被咳出。动物油可被肺酯酶所水解,释放脂肪酸,引起显著的炎症反应。在同一病变中能同时存在早期炎症和晚期纤维化。
幼儿、衰弱和老年患者,有吞咽障碍的神经系统疾病和食管疾病的病人,易发生吸入性类脂性肺炎。
内源性类脂性肺炎亦称胆固醇性肺炎(cholesterol pneumonia)。是肺癌、支气管扩张、放射治疗及继发于硬皮症或尘肺的纤维化等的并发症,也可以发生于脂肪栓塞、肺泡蛋白沉着症和脂质累积症等疾病时。
(二)发病机制
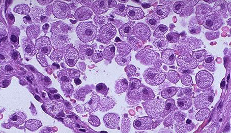
矿物油引起的类脂性肺炎,可见肺泡间隔增厚和水肿,含有淋巴细胞和充满脂质的巨噬细胞。在肺淋巴管和肺门淋巴结中可见小油滴。可见大量纤维化,正常肺结构消失。如是结节状,病变很像肿瘤,称石蜡瘤。
胆固醇肺炎,肺大体标本的切面可见灰色或黄色的外观。镜检:在肺泡和肺泡壁可见含大量胆固醇的巨噬细胞。核位于中央,苏丹染色,胞浆明亮。肺泡内皮细胞增生,并有不同程度的小叶间纤维化。