
(一)发病原因
引起本病的结核菌大多为人型(70%~80%以上),少数为牛型(5%~25%)。常由淋巴结核、骨结核或关节结核继发而来。结核杆菌由感染病灶直接扩展,或经血行、淋巴管蔓延至皮肤组织引起皮肤结核。患者的营养、生活条件、卫生状况、机体免疫力等多种因素对疾病发生与发展皆有很大关系。好发于机体抵抗力低的人,特别是儿童。
本病属中医“瘰疬”范畴。中医认为本病是:日久溃疡成脓,耗伤气血阴津,以及阴血虚亏,阴毒流窜,皮下穿凿。
(二)发病机制
结核杆菌初次侵入机体后,被中性粒细胞及巨噬细胞吞噬。但由于巨噬细胞未被激活,溶菌力弱,使细胞内的病菌不能被消灭并继续繁殖,而引起细胞浸润,形成慢性肉芽肿。同时细菌抗原分别刺激B细胞及T淋巴细胞,使人体获得特异性免疫力,产生了抗体及致敏淋巴细胞。因细菌多潜藏于细胞内,故体液免疫作用不强。当致敏的T淋巴细胞再次与结核杆菌或含有结核杆菌的吞噬细胞接触时,便释放出一系列免疫效应因子,吸引并激活巨噬细胞,增强其吞噬和溶菌作用,使它们本身转化为巨噬细胞和上皮样细胞,在组织形态上形成结节。
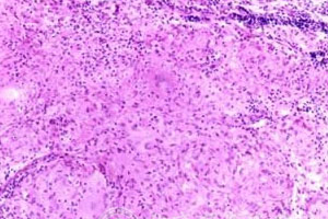
表皮棘层肥厚,细胞水肿,可有空泡形成;基底层内色素增加;真皮深层或皮下组织可见结核性浸润或结核样浸润,可查到结核杆菌,表皮及真皮上部常破溃形成溃疡。损害较成熟时,可见结核性肉芽肿改变,由多核巨细胞和上皮样细胞组成,中央是干酪样坏死,外围有淋巴细胞浸润,有时绕以坚实的结缔组织。病灶处胶原和弹性纤维皆毁坏,较少见到血管和淋巴管,但在边缘处可见有许多新生的血管和淋巴管。如有继发感染,真皮上部常有大量中性粒细胞浸润,有脓疡形成,并可查到化脓球菌。愈合时肉芽组织增生、纤维化而形成瘢痕。