
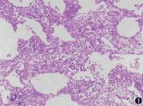
NSIP的病理表现:在增厚的肺泡壁内含有不同程度的炎症和纤维化。根据炎症和纤维化比例的不同将疾病分为3型:①细胞型,约占50%,主要表现为肺间质的炎症,很少或几乎无纤维化,是NISP最早的组织学表现。肺泡隔内的慢性炎症细胞主要为淋巴细胞和浆细胞浸润。其浸润程度比IPF更为突出;②混合型,约占40%,肺间质内有大量慢性炎细胞浸润和明显的胶原纤维沉着为特点,其病变相对一致,无蜂窝肺,部分病人可见少量成纤维细胞灶;③纤维化型,约占10%,肺间质内以致密的胶原纤维沉积为主,伴有轻微的炎症反应或缺少炎症。NSIP病变呈片状或弥漫性分布,但病变整个时相是一致的,很少有单纯性纤维化区,见不到IPF那样新老病灶并存的现象。支气管周围慢性炎细胞浸润,肺泡Ⅱ型上皮增生明显。灶性或片状肺泡腔内巨噬细胞聚集,常见多量泡沫细胞。近半数病例有灶性BOOP改变,所占比例很小。缺少急性肺损伤的小血管纤维素性血栓、肺泡腔内透明膜和上皮化生。
NSIP应主要与IPF鉴别,特别肺纤维化型更应与IPF相鉴别。IPF的重要病理特征为出现成纤维细胞灶,伴胶原沉积的瘢痕化和蜂窝变组成的不同时相病变共同组成的重要特征。NSIP近半数病例有灶性BOOP改变,但占整个病变的比例很小。